首页 抗体 生化试剂 定制服务 技术支持 促销活动 关于我们
登 录 注 册

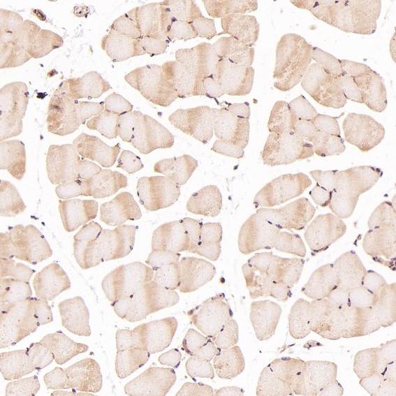
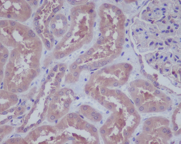
HAPLN1 Rabbit mAb  (货号:AYM29419)

说明书    复制

货号:AYM29419

规格价格
50ul ¥1150.00 加购物车
100ul ¥2100.00 加购物车
反应 Human,Mouse,Rat
宿主 Rabbit
克隆性 Monoclonal
应用 WBIHCIF/ICC
推荐浓度 WB: 1:500 - 1:2000
IHC: 1:50 - 1:200
IF/ICC: 1:50 - 1:200
理论分子量 40kDa
实测分子量 48kDa
形式 Liquid
保存条件 Store at -20℃. Avoid freeze / thaw cycles.
Buffer: PBS with 0.75% BSA,50% glycerol,pH7.3.
偶联物 Unconjugated
阳性对照 HeLa,A375,Mouse liver
细胞定位 Secreted,extracellular matrix,extracellular space
纯化 Affinity purification

相关产品

查找相关产品 >>

抗原信息

抗原信息 Recombinant fusion protein.
序列 Email For Sequence

靶点信息

研究背景 Stabilizes the aggregates of proteoglycan monomers with hyaluronic acid in the extracellular cartilage matrix.
基因ID 1404
基因名 HAPLN1
Swiss P10915
别名 HAPLN1;CRT1;CRTL1
组织表达 Widely expressed. Weakly expressed in the brain.
功能 Stabilizes the aggregates of proteoglycan monomers with hyaluronic acid in the extracellular cartilage matrix.

实验步骤

实验步骤

文献引用

暂无数据

客户评价

未选文件 允许的格式:jpg,png 每张图片最大1M,支持多选

HAPLN1 Rabbit mAb 有 0 条评价