GP2 Rabbit pAb (货号:AYP19711)

Western blot - GP2 Rabbit pAb
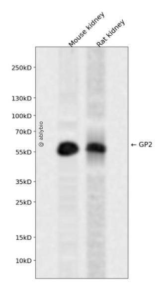
Western blot analysis of GP2 expressed in Mouse kidney,Rat kidney using GP2 Rabbit pAb at 1:1000. Secondary antibody: HRP Goat Anti-Rabbit IgG (H+L) at 1:5000. Lysates/proteins: 30ug per lane. Blocking buffer: 5% non-fat dry milk in TBST. Detection: ECL Enhanced Kit. Exposure time: 120s.
预览

Western blot - GP2 Rabbit pAb
Western blot analysis of GP2 expressed in Mouse kidney,Rat kidney using GP2 Rabbit pAb at 1:1000. Secondary antibody: HRP Goat Anti-Rabbit IgG (H+L) at 1:5000. Lysates/proteins: 30ug per lane. Blocking buffer: 5% non-fat dry milk in TBST. Detection: ECL Enhanced Kit. Exposure time: 120s.
询价
感谢!
产品信息
相关产品
抗原信息
靶点信息
文献引用
实验步骤
客户评价
| 反应 | Mouse,Rat |
|---|---|
| 宿主 | Rabbit |
| 克隆性 | Polyclonal |
| 应用 | WB |
| 推荐浓度 | WB: 1:500 - 1:2000 |
| 理论分子量 | 43kDa/59kDa |
| 实测分子量 | 59kDa |
| 形式 | Liquid |
| 保存条件 | Store at -20℃. Avoid freeze / thaw cycles. Buffer: PBS with 0.02% sodium azide,50% glycerol,pH7.3. |
| 偶联物 | Unconjugated |
| 阳性对照 | Mouse kidney,Rat kidney |
| 细胞定位 | Cell membrane,GPI-anchor,Lipid-anchor,Secreted |
| 纯化 | Affinity purification |
相关产品
查找相关产品 >>抗原信息
| 抗原信息 | Recombinant fusion protein. |
|---|---|
| 序列 | Email For Sequence |
靶点信息
| 研究背景 | This gene encodes an integral membrane protein that is secreted from intracellular zymogen granules and associates with the plasma membrane via glycosylphosphatidylinositol (GPI) linkage. The encoded protein binds pathogens such as enterobacteria, thereby playing an important role in the innate immune response. The C-terminus of this protein is related to the C-terminus of the protein encoded by the neighboring gene, uromodulin (UMOD). Alternative splicing results in multiple transcript variants. |
|---|---|
| 基因ID | 2813 |
| 基因名 | GP2 |
| Swiss | P55259 |
| 别名 | GP2;ZAP75 |
| 组织表达 | Expressed in pancreas (at protein level) (PubMed:8666297, PubMed:10760606). Specifically expressed by M (microfold) cells which are atypical epithelial cells of the intestine (at protein level) (PubMed:19907495). |
| 功能 | It is uncertain whether Met-1 or Met-8 is the initiator. |
实验步骤
蛋白质印迹法标准操作流程
一、实验试剂及耗材
1、样品制备试剂
- a. RIPA 裂解液
- b. 蛋白酶抑制剂
- c. BCA工作液
- d. BSA Standard Solution(5mg/ml)
- e. 1×PBS缓冲液
- f. 5×loading buffer
2、制胶试剂
- a.30% Acr-Bis (29:1)
- b.1 M Tris-HCl (pH6.8)
- C.1.5M Tris-HCl (pH8.8)
- d.10%SDS
- e.10%Ammonium persulfate (APS)
- f.TEMED
3、电泳、转膜试剂及耗材
- a. 1X Tris-Glycine SDS Running Buffer
- b. 1X Western Transfer Buffer
- c. Filter Paper (7.5×10cm)
- d. Nitrocellulose membrane
4、封闭、一抗二抗孵育及曝光试剂
- a. 1XTBST Buffer
- b. 1X Western Blocking Buffer
- c. Skimmed milk powder
- d. Bovine Serum Albumin (BSA)
- e. Western Antibody Dilution Buffer
- f. HRP 偶联二抗(AS014/AS003)
- g. SignalFire™ ECL Reagent
二、实验步骤
1、样品制备
(1)细胞收集
- a. 贴壁培养细胞收集
去除贴壁细胞的培养液,用PBS、NS或无血清培养基清洗1次,低速离心,弃上清,留取沉淀。 - b. 悬浮培养细胞收集
速离心悬浮细胞,弃上清,收集沉淀。手指轻弹细胞,使其松散。 - c. 组织样本收集
把组织剪切成细小的碎片,越小越好。取液氮或超低温冰箱中冷冻30min以上的组织,迅速用液氮研磨,研磨过程尽量控制在1~2min之内,以减少蛋白的降解。
(2)总蛋白提取
- a. 细胞/组织裂解
将装有细胞沉淀或组织碎片的容器完全插入冰中。细胞沉淀按照1mL裂解液/107个细胞(1个T75培养瓶细胞量)的比例加入相应体积的裂解液(细胞量足够时都加入3mL,不足时根据细胞量计算),裂解20min,每隔5min将离心管置于涡旋振荡仪上震荡10s。组织碎片按照0.5mL 裂解液/100mg组织向匀浆器中加入蛋白裂解液,每3min研磨一次,重复5次,使组织尽量碾碎。(裂解液中根据需要选择添加或不添加蛋白酶抑制剂)。 - b. 离心
把裂解好的样品配平后,置于预冷的高速冷冻离心机中,12000 rpm,15min。 - c. 蛋白变性
完成离心后,上清即为蛋白提取液。吸取少量蛋白提取液做蛋白浓度测定。向剩余的蛋白提取液的离心管中加入1/5上清体积的5×Loading Buffer(最终工作液为1X),待干式恒温器温度升至95℃后,将1.5mL离心管插入加热孔中,95℃加热变性10min,待液体完全冷却后置于-20℃保存。
(3)蛋白浓度测定(BCA法)
- a. BCA工作液的配置
根据样品数量,按50体积BCA试剂A加入1体积BCA试剂B(50:1)配置适量BCA工作液,充分混匀。BCA工作液室温24h内稳定。 - b. 标准品测定
取10μl蛋白标准品(5mg/ml BSA)稀释至50μl,使终浓度为1mg/ml。稀释后的蛋白标准品可以-20℃长期保存。此标准品溶液的稀释液可使用去离子水或1*PBS。将标准品按0、1、2、4、8、12、16、20μl加入到96孔板中,加稀释液补足到20μl(见附表)。加适当体积样品到96孔板的样品孔中,如果样本不足20μl,需加稀释液补足到20μl。请注意记录样品体积。各孔加入200μl BCA工作液,37℃放置20-30min。用酶标仪测定A562,或540-595nm之间的其他波长吸光度。根据标准曲线和使用的样品体积计算出样品的蛋白浓度。
2、凝胶电泳
(1)制胶器安装
- 根据使用说明书安装。
(2)分离胶制备
- 根据不同蛋白大小,选择不同浓度的分离胶(见附件表)。将制备好的胶溶液注入预先安装好的制胶器中,加入异丙醇封胶。室温水平放置30min左右。注意防止胶溶液产生气泡并注入制胶器中;注胶前再加入TEMED,防止注胶前凝固;注入异丙醇时需沿玻板一边缓慢拖动加入。
(3)浓缩胶制备
- 分离胶凝固后,沿玻板一边倒出异丙醇,并用滤纸吸干。再根据需要的体积制备浓缩胶(见附表)。将制备好的胶溶液注入制胶器中,并把准备好的样品梳沿玻板一端缓慢插入胶溶液中,室温水平放置20-30min。注意样品梳与胶溶液之间避免气泡产生。
(4)上样
- 待浓缩胶凝固好后,双手垂直拔出样品梳,并用Tris-Glycine SDS Running Buffer注入到内外槽中,形成闭合回路。用移液器吸取样品垂直梳孔上样,蛋白含量25ug/孔。注意内槽Tris-Glycine SDS Running Buffer需注满,外槽Tris-Glycine SDS Running Buffer没过底部3~5cm即可。
(5)电泳
- 上样完以后,连通电泳仪电源,注意正负极需连接正确,设定适宜的电泳参数,浓缩胶电泳参数为恒压80V,待样本进入分离胶是,可将电泳调至120V。当溴酚蓝电泳到凝胶底部时,停止电泳,关闭电泳仪电源,或根据目的蛋白分子量大小参照Marker电泳情况延长电泳时间。
3、转膜
(1)准备工作
- a. Western Transfer Buffer至少提前2h (即开始电泳后)放入-20℃冰箱预冷,但注意避免结冰。
- b. 根据胶体大小,将Filter Paper及Nitrocellulose membrane剪裁至合适尺寸。
- c. 目的蛋白>20KD选择0.45μm NC膜/PVDF膜;目的蛋白<20KD选择0.2μmNC膜或PVDF膜,选择完毕后将NC膜放在Western Transfer Buffer中浸泡备用,注意如使用的是PVDF膜需先放入甲醇中浸泡5-10min,再放入Western Transfer Buffer中浸泡备用。
(2)转膜
- 取出玻板中的凝胶,在夹板上依次放一块多孔垫、三张滤纸、凝胶、膜、三张滤纸、一块多孔垫(“三明治”结构),将转好的膜放在转膜槽,按一定的条件进行转膜。(见附表)
4、封闭
- 将膜从“三明治”结构中取出,放入合适的抗体孵育槽中,加入Western Blocking Buffer室温孵育1h,一张6.3×8.3cm大小的膜加入6~7ml即可。
5、一抗孵育
- a. 将一抗用1X Western Blocking Buffer/1XTBST Buffer按照合适比例进行稀释。
- b. 封闭结束后,将稀释好的一抗工作液倒入孵育槽中,室温2h或4℃过夜。
6、洗涤
- 一抗孵育结束后,加入TBST Buffer洗涤4次,5min/次。
7、二抗孵育
- a. 一抗洗涤结束前10min,将二抗用1XTBST Buffer按照合适比例进行稀释。
- b. 洗涤结束后,将稀释好的二抗工作液加入孵育槽中,室温1h。
8、洗涤
- 二抗孵育结束后,加入TBST Buffer洗涤4次,5min/次。
9、曝光
- a. 根据膜的大小,按每 10cm2 膜使用 1-2ml 工作液,按比例吸取等体积的 SolutionⅠ和 SolutionⅡ混匀,配制成发光检测工作液。
- b. 用平头镊子将膜取出,膜的下缘轻轻接触吸水纸,去除膜上多余的液体。用移液器将工作液加到转印膜上,使其均匀覆盖,室温孵育 1-2min,此步骤可在洁净保鲜膜上或塑料盒中完成。
- c. 压片检测:将膜固定于片夹内。暗室内压片 1 分钟,立即显影定影,根据结果再调整压片时间。或直接分别压片 30s、60s、90s、180s,然后一起显影定影观察结果。
- d. 荧光成像仪检测:将膜放置到荧光成像仪内,参考仪器说明书进行检测。
免疫组织化学标准操作流程(石蜡切片)
一、实验仪器及试剂
1、实验器材
微波炉、4℃冰箱、恒温恒湿箱、烘箱、光学显微镜、移液器、孵育湿盒、抗原修复盒。
2、实验试剂
- (1) 缓冲液:0.01M PBS pH7.2±0.2; 0.01M pH7.2 PBST;
试剂名称 1*PBS/L 试剂名称 1*PBST/L NaH2PO4 0.23g 1*PBS溶液 1L Na2HPO4 1.15g Tween 20 溶液 0.001L NaCl 8.5g 用稀HCl溶液和NaOH溶液调pH值 - (2) 修复液(可选):
pH6.0 0.01M柠檬酸修复液(1L):C6H8O7•H2O 0.4g;NaC6H5O7•2H2O 3g;pH6.0;
pH7.0 0.01M PBS修复液(1L):KH2PO4 0.07g;NaCl 7.89g;Na2HPO4 0.45g;KCl 0.10g;pH7.2-7.4;
pH8.0 0.05M Tris-EDTA修复液(1L):C4H11NO3 6.05g;C10H14N2Na2O8•2H2O 0.29g;用稀HCl调至pH8.0;
pH9.0 0.01M Tris-EDTA修复液(1L):C4H11NO3 1.21g;C10H14N2Na2O8•2H2O 0.37g;pH9.0。 - (3) 封闭液:5%空白山羊血清;
- (4) 3%过氧化氢(需新鲜配制,30% H2O2与dH2O体积比1:9);
- (5) 抗体稀释液:1X PBS + 5% 正常血清 + 0.3% Triton™ X-100;
- (6) EnVision Systems检测体系, HRP显色系统: HRP RABBIT/MOUSE及配套DAB显色液;
- (7) 脱蜡液、无水乙醇(分析纯)、去离子水(dH2O)、Mayer’s苏木素、中性树胶封片剂。
二、实验步骤
1.水化/脱蜡:
- (1)烤片:将石蜡切片按同一朝向放置在切片架上,将其放入55℃的恒温箱中烤片30分钟;同时将脱蜡液1缸一起放入55℃的恒温箱中;
- (2)脱蜡至水:将石蜡切片连同切片架一起放入脱蜡液1缸中,再一起从恒温箱中取出置于常温,5分钟后,将切片取出浸入到常温脱蜡液2缸中,并按照脱蜡液2、脱蜡液3、无水乙醇1、无水乙醇2、无水乙醇3的顺序依次将石蜡切片放入缸中,每缸5分钟;用流水清洗切片5分钟。
2.内源性过氧化物酶灭活:
- 将切片完全浸入到3%双氧水溶液中,室温,孵育10分钟;完成后流水清洗5分钟。
3.抗原修复(可选):
- (1)方法一,微波热修复:将切片浸入盛有修复液的修复盒中,将抗原修复盒盖斜盖在修复盒上;整体放入微波炉中,高火加热3分钟后停火,微波炉内静置5分钟;再高火加热3分钟后停火,微波炉内静置5分钟;随后中低火加热1分钟后停火,微波炉内静置5分钟,然后将切片连同抗原修复盒拿出缓慢冷却至室温。待修复液温度降至室温后,用缓冲液PBS洗涤3次,每次1min。
- (2)方法二,高压热修复:在高压锅中,加入抗原修复液,高火预热;待修复液沸腾后将切片置于其中,并完全浸泡组织,盖好锅盖,扣上压力阀,高火继续加热;待限压阀开始转动喷气后调至中火,同时开始计时2分钟;计时结束后离开热源,自然降压后将高压锅移入冷水中缓慢冷却。待修复液温度降至室温后,用缓冲液PBS洗涤3次,每次1min。
4.染色:
- (1)封闭:待修复液温度降至室温后,从修复盒中取出切片;用缓冲液PBS清洗切片2次,每次3分钟;去除切片上的缓冲液;在组织切片上滴加5%空白山羊血清封闭液;将切片水平放置在底部呈有水的孵育湿盒中,于37℃恒温孵育30分钟;
- (2)一抗孵育:去除封闭液,在组织切片上滴加用缓冲液PBS稀释的一抗,水平放置于孵育湿盒中,于4℃孵育过夜;
- (3)复温:将孵育湿盒取出室温复温15-30分钟,去除抗体工作液,用缓冲液PBST洗涤1次,5分钟;用缓冲液PBS洗涤3次,每次5分钟;
- (4)二抗孵育:在组织切片上滴加二抗工作液后水平放置于孵育湿盒中,于37℃恒温孵育1h;
- (5)去除切片上的溶液,用缓冲液PBST洗涤1次,5分钟;用缓冲液PBS洗涤3次,每次5分钟;
- (6)显色:显色前5分钟,配置DAB显色工作液,C液:B液体积比1:100,充分混匀;在组织切片上滴加显色工作液,显微镜下密切观察颜色变化情况,通常10-60秒即可得到合适的染色强度;将切片浸入大量dH2O中即可终止显色;
- (7)复染、返蓝:将切片浸入Mayer’s苏木素中复染切片,用流水清洗10分钟。
5.脱水、封片:
- (1)脱水:将清洗后的切片于无水乙醇中浸泡1次,10秒;高温(55℃-60℃)下完全干燥;
- (2)封片:在切片中心滴加适量中性树胶,并加盖盖玻片。
免疫荧光实验操作流程(细胞样本)
一、实验仪器及试剂
1、实验器材
4℃冰箱、恒温恒湿箱、通风橱、移液器、避光孵育湿盒。
2、实验试剂
- (1) 缓冲液:0.01M pH7.2±0.2 TBS ;0.01M pH7.2±0.2 TBST
试剂名称 1*TBS/L 试剂名称 1*TBST/L Tris 1.21g 1*TBS 1L NaCl 8.8g Tween 20 溶液 0.001L 用稀HCl溶液和NaOH溶液调pH值 用稀HCl溶液和NaOH溶液调pH值 - (2) 固定液:4%中性甲醛固定液(TBS缓冲液配制)
- (3) 抗体稀释液:1X TBS / 5% 正常血清 / 0.3% Triton™ X-100
- (4) 通透剂:0.3% Triton X-100(TBS缓冲液配制)
- (5) 二抗(可选):
Alexa Fluor 594-conjugated AffiniPure Goat Anti-Rabbit IgG (H+L)# AS074;
Alexa Fluor 488-conjugated AffiniPure Goat Anti-Rabbit IgG (H+L)# AS073;
Alexa Fluor 594-conjugated AffiniPure Goat Anti-Mouse IgG (H+L)# AS077;
Alexa Fluor 488-conjugated AffiniPure Goat Anti-Mouse IgG (H+L)# AS076; - (6) 染核试剂:1mg/mL DAPI(用时使用0.01M pH7.2 TBS缓冲液配制)
- (7) 去离子水(dH2O)、抗荧光衰减封片剂。
二、实验步骤
1.样本前处理
- (1) 弃去培养基,在细胞上缓慢加入常温TBS,清洗2次,每次5秒;
- (2) 细胞固定:在细胞上覆盖 4%中性甲醛固定液(TBS缓冲液配制),置于4℃,固定15min;固定液需足量;
- (3) 固定液的清洗:去除固定液,使用4℃预冷的TBS缓冲液,漂洗3次,每次5分钟;
2.染色步骤
- (1)封闭:用5%空白山羊血清将样本完全覆盖,切片需放置于湿盒内,细胞孔板可直接将孔板密封好,置于37℃恒温恒湿培养箱孵育30min;
- (2)一抗孵育:去除封闭液,直接在样本上滴加TBS缓冲液配制的一抗工作液,样本需完全覆盖,切片需放置于湿盒内,细胞孔板可直接将孔板密封好,置于4℃孵育过夜;
- (3)复温:将样本置于常温,复温15min,去除抗体工作液,用缓冲液TBST洗涤1次,5分钟;用缓冲液TBS洗涤3次,每次5分钟;
- (4)二抗孵育:在样本上滴加与一抗种属对应的荧光二抗工作液,样本需完全覆盖,避光,37℃,孵育1小时;去除二抗工作液,用缓冲液TBST洗涤1次,5分钟;用缓冲液TBS洗涤3次,每次5分钟;
- (5)染核:在样本上滴加DAPI工作液,使用0.01M pH7.2±0.2 TBS缓冲液配制,DAPI溶液:TBS缓冲液体积比1:500,避光,室温,孵育10分钟;去除DAPI工作液,用缓冲液TBST洗涤1次,5分钟;用缓冲液TBS洗涤3次,每次5分钟;
- (6)细胞孔板可直接加入抗荧光衰减封片剂后,于荧光显微镜下观察并采集图像;细胞涂片滴加抗荧光衰减封片剂,然后加盖盖玻片封片,再于荧光显微镜下观察并采集图像;细胞爬片可取出,盖在滴加抗荧光衰减封片剂的载玻片上后,于荧光显微镜下观察并采集图像。
免疫荧光实验操作流程(石蜡切片)
一、实验仪器及试剂
1、实验器材
微波炉、4℃冰箱、恒温恒湿箱、烘箱、移液器、避光孵育湿盒、抗原修复盒。
2、实验试剂
- (1) 缓冲液:0.01M pH7.2±0.2 TBS ;0.01M pH7.2±0.2 TBST
试剂名称 1*TBS/L 试剂名称 1*TBST/L Tris 1.21g 1*TBS 1L NaCl 8.8g Tween 20 溶液 0.001L 用稀HCl溶液和NaOH溶液调pH值 用稀HCl溶液和NaOH溶液调pH值 - (2) 修复液(可选):
pH6.0 0.01M柠檬酸修复液(1L):C6H8O7•H2O 0.4g;NaC6H5O7•2H2O 3g;pH6.0;
pH7.0 0.01M PBS修复液(1L):KH2PO4 0.07g;NaCl 7.89g;Na2HPO4 0.45g;KCl 0.10g;pH7.2-7.4;
pH8.0 0.05M Tris-EDTA修复液(1L):C4H11NO3 6.05g;C10H14N2Na2O8•2H2O 0.29g;用稀HCl调至pH8.0;
pH9.0 0.01M Tris-EDTA修复液(1L):C4H11NO3 1.21g;C10H14N2Na2O8•2H2O 0.37g;pH9.0。 - (3) 封闭液:5%空白山羊血清
- (4) 抗体稀释液:1X TBS / 5% 正常血清 / 0.3% Triton™ X-100
- (5) 二抗:
Alexa Fluor 594-conjugated AffiniPure Goat Anti-Rabbit IgG (H+L)# AS074;
Alexa Fluor 488-conjugated AffiniPure Goat Anti-Rabbit IgG (H+L)# AS073;
Alexa Fluor 594-conjugated AffiniPure Goat Anti-Mouse IgG (H+L)# AS077;
Alexa Fluor 488-conjugated AffiniPure Goat Anti-Mouse IgG (H+L)# AS076; - (6) 染核试剂:1mg/mL DAPI(用时使用0.01M pH7.2±0.2 TBS配制)
- (7) 去离子水(dH2O)、抗荧光衰减封片剂。
二、实验步骤
1.水化/脱蜡:
- (1) 烤片:将石蜡切片按同一朝向放置在切片架上,将其放入55℃的恒温箱中烤片30分钟;同时将脱蜡液1缸一起放入55℃的恒温箱中;
- (2) 脱蜡至水:将石蜡切片连同切片架一起放入脱蜡液1缸中,再一起从恒温箱中取出置于常温,5分钟后,将切片取出浸入到常温脱蜡液2缸中,并按照脱蜡液2、脱蜡液3、无水乙醇1、无水乙醇2、无水乙醇3的顺序依次将石蜡切片放入缸中,每缸5分钟;用流水清洗切片5分钟。
2.抗原修复:
- (1)方法一,微波热修复:将切片浸入盛有修复液的修复盒中,将抗原修复盒盖斜盖在修复盒上;整体放入微波炉中,高火加热3分钟后停火,微波炉内静置5分钟;再高火加热3分钟后停火,微波炉内静置5分钟;随后中低火加热1分钟后停火,微波炉内静置5分钟,然后将切片连同抗原修复盒拿出缓慢冷却至室温。
注意:修复液需完全浸没切片上组织;修复过程中严禁打开微波炉门;修复完成后不可快速冷却;修复液可根据实验需求自行换用其他类型修复液。 - (2)方法二,高压热修复:在高压锅中,加入抗原修复液,高火预热;待修复液沸腾后将切片置于其中,并完全浸泡组织,盖好锅盖,扣上压力阀,高火继续加热;待限压阀开始转动喷气后调至中火,同时开始计时2分钟;计时结束后离开热源,自然降压后将高压锅移入冷水中缓慢冷却。待修复液温度降至室温后,用缓冲液洗涤3次,每次1min。
注意:修复液需完全浸没切片上组织;修复过程中严禁打开仪器或中断运行程序;修复液可根据实验需求自行换用其他类型修复液。
3.染色:
- (1)封闭:用5%空白山羊血清将样本完全覆盖,切片需放置于湿盒内,置于37℃恒温恒湿培养箱孵育30min;
- (2)一抗孵育:去除封闭液,直接在样本上滴加TBS缓冲液配制的一抗工作液,样本需完全覆盖,切片需放置于湿盒内,置于4℃孵育过夜;
- (3)复温:将样本置于常温,复温15min,去除抗体工作液,用缓冲液TBST洗涤1次,5分钟;用缓冲液TBS洗涤3次,每次5分钟;
- (4)二抗孵育:在样本上滴加与一抗种属对应的荧光二抗工作液,样本需完全覆盖,避光,37℃,孵育1小时;去除二抗工作液,用缓冲液TBST洗涤1次,5分钟;用缓冲液TBS洗涤3次,每次5分钟;
- (5)染核:在样本上滴加DAPI工作液,使用0.01M pH7.2 TBS缓冲液配制,DAPI溶液:0.01M pH7.2 TBS缓冲液体积比1:500,避光,室温,孵育10分钟;去除DAPI工作液,用缓冲液TBST洗涤1次,5分钟;用缓冲液TBS洗涤3次,每次5分钟;
- (6)滴加抗荧光衰减封片剂,然后加盖盖玻片封片,再于荧光显微镜下观察并采集图像。
IP检测
一、实验试剂
- (1)rProtein A/G Plus MagPoly Beads
- (2)裂解液&洗杂液:Cell lysis buffer for IP (without inhibitors)
- (3)蛋白酶抑制剂
- (4)封闭液:含 3% BSA 的 1X PBS
- (5)1×PBS 缓冲液
- (6)5×loding buffer(使用时用去离子水稀释至工作浓度即可)
- (7)Control IgG (AC005/ AC011/AC034)
二、实验步骤
1、样本处理
(1)贴壁培养细胞
- a. 取裂解液室温溶解混匀,根据需要选择添加或不添加蛋白酶抑制剂。
- b. 去除贴壁细胞的培养液,用PBS、NS或无血清培养基清洗1次,低速离心,弃上清,留取沉淀。
- c. 按照6孔板每孔加入100~200μl裂解液的比例,加入裂解液。移液器轻轻吹打,使裂解液和细胞充分接触。通常裂解液作用于细胞1~5s内,细胞会被裂解。
- d. 1000~12000g,离心3~5min(如果用冷冻离心机4℃效果更佳),取上清。
(2)悬浮培养细胞
- a. 取裂解液室温溶解混匀,根据需要选择添加或不添加蛋白酶抑制剂。
- b. 速离心悬浮细胞,弃上清,收集沉淀。
- c. 手指轻弹细胞,使其松散。按照6孔板每孔加入100~200μl裂解液的比例,加入NP-40裂解液。通常6孔板每孔加入100~200μl裂解液已经足够,但如果细胞密度非常高可以适当加大裂解液的用量150~200μl,再用手指轻弹以充分裂解细胞。充分裂解后应无明显沉淀。
- d. 1000~12000g,离心3~5min(如果用冷冻离心机4℃效果更佳),取上清。
(3)组织样本
- a. 取裂解液室温溶解混匀,根据需要选择添加或不添加蛋白酶抑制剂。
- b. 把组织剪切成细小的碎片,越小越好。
- c. 取液氮或超低温冰箱中冷冻30min以上的组织,迅速用液氮研磨,研磨过程尽量控制在1~2min之内,以减少蛋白的降解。
- d. 按照每20mg组织加入100~200μl裂解液的比例,加入含有PMSF的裂解液。冰上或4℃裂解30-60min。(步骤3、4也可采用以下过程:按照每20mg组织加入100~200μl裂解液的比例加入NP-40裂解液。用玻璃匀浆器或组织研磨器匀浆,直至充分裂解,过程尽量控制在1~2min之内,以减少蛋白的降解。)
- e. 按照每20mg组织加入100~200μl裂解液的比例,加入裂解液。
- f. 1000~12000g,4℃离心10~15min(如无低温离心机,室温下离心也可),取上清。
2、磁珠预处理
- (1)将rProtein A/G Plus MaqPoly Beads颠倒或漩涡混匀,翻转瓶身发现底部无黑色沉淀即可。
- (2)取30μl rProtein A/G Plus MaqPoly Beads至新的EP管中,放在磁分离器上,待溶液澄清后,用移液器吸弃保护液。
- (3)将EP管从磁分离器上取下来,加入1ml Cell lysis buffer for IP (without inhibitors),混匀,放置在磁分离器上,收集磁珠,用移液器吸弃洗杂液,重复2次。
- (4)将EP管从磁分离器上取下来,加入1mL的3% BSA,置于翻转混合仪4℃封闭1h.
- (5)重复步骤3),备用。
3、磁珠、抗原-抗体复合物结合
- (1)将含有抗原的样品(通常300μl-1000μl,总蛋白量200μg)中加入目标抗体(通常3μg),置于翻转混合仪4℃下反应2h或过夜。
- (2)将上述完成抗体-抗原结合的复合物与备用好的磁珠进行混合,置于4℃下反应2h或过夜。
- (3)将上述磁珠-抗体-抗原复合物放在磁分离器上进行分离,收集上清液,以备后续检测。
- (4)向离心管中加入1ml洗杂液,用移液器轻轻吹打使磁珠-抗体-抗原复合物均匀分散,然后进行磁性分离,弃上清液;从磁分离器上取下离心管,重复洗涤两次。
4、抗原洗脱
(1)变性洗脱(此方法洗脱的样品适用于SDS-PAGE检测。)
- a. 从磁分离器上取下离心管,向其中加入30μl 2X SDS-PAGE Loading Buffer混合均匀,95℃加热15min。
- b. 置于磁性分离器上进行磁性分离,收集上清液进行SDS-PAGE检测。
(2)非变性洗脱
- a. 向磁珠-抗体-抗原复合物中加入50μl洗脱液,混合均匀,室温孵育5min。
- b. 置于磁性分离器上进行磁性分离,收集洗脱液至新的EP管中。
- c. 重复步骤1)和2),收集洗脱液,与2)中洗脱液混合,加入中和液中和至pH7.0-8.0。用于后期功能分析。
ChIP标准操作流程
一、实验试剂
- (1)PBS缓冲液
- (2)TE 缓冲液
- (3)甲醛:40%
- (4)甘氨酸:20%
- (5)Lysis Buffer
- (6)Dilution buffer
- (7)Wash buffer I
- (8)Wash buffer II
- (9)Wash buffer III
- (10)Elution buffer
- (11)rProtein A/G Plus MagPoly Beads
二、实验步骤
1、细胞裂解
- (1)取1x107细胞,加入1ml PBS和25ul甲醛(40%)混匀后,于冰上放置10min(混匀2-3次)。
- (2)加入50ul甘氨酸(20%),混匀后静置5min。
- (3)3000rpm离心5min,用1ml PBS清洗2遍。
- (4)加入200ul Lysis Buffer(含10ul蛋白酶抑制剂),置于旋转摇床4℃裂解30min。
- (5)加入800ul Dilution buffer,混匀后超声15-20min。
- (6)12000rpm离心10min取上清,吸取少量裂解液DNA回收检测。
- (7)琼脂糖电泳检测DNA打断程度,DNA长度应在150-900 bp之间。
- (8)使用Qubit™荧光定量仪检测染色质浓度。
2、IP(免疫沉淀:磁珠法):
- (1)取60ul 磁珠加入1ml BSA(1mg/ml,TE缓冲液配制),于旋转摇床4℃旋转5min,至于磁力架弃去液体,加入1ml BSA重复此操作1次。
- (2)加入1ml TE溶液清洗磁珠两次,于4℃放置备用。
- (3)取180ul染色质裂解液,加入320ul Dilution buffer(一份IP样品), 分别加入5ul抗体,1ul Normal Rabbit IgG,5ul Histone H3于4℃过夜,然后加入60ul处理好的磁珠,4℃孵育2h。
- (4)依次使用Wash buffer I/II/III 洗涤磁珠,完成后使用TE溶液洗涤两次。
- (5)弃去上清后加入200ul Elution buffer,置于旋转摇床室温旋转10min。
- (6)吸取上清加入10ul蛋白酶K,65℃水浴至少4h。
- (7)使用DNA回收试剂盒回收DNA。
3、Q-PCR:
(1)反应体系 (20ul)
| DNA模板: | 5 μl |
| 引物: | 5 μl |
| Green Master Mix: | 10 μl |
(2)反应体系 (20ul)
| Stage 1 | 预变性 | Reps: 1 | 95 ℃ | 5 min |
| Stage 2 | 循环反应 b | Reps: 40 | 95 ℃ | 10 sec |
| 60 ℃ | 30 sec | |||
| Stage 3 | 融解曲线 | Reps: 1 | 95 ℃ | 15 sec |
| 60 ℃ | 60 sec | |||
| 95 ℃ | 15 sec |
4、结果计算
假设 Input 起始浓度为 a,Ct1 个循环数扩增后达到阈值;IgG 起始浓度为 b,Ct2 个循环数扩增后达到阈值;目的蛋白起始浓度为 c,Ct3 个循环数扩增后达到阈值。则可以得到如下公式:
| a×2Ct1 = b×2Ct2 = c×2Ct3 | |
| b/a = 2Ct1/2Ct2 = 2(Ct1-Ct2) | b:a=2(Ct1-Ct2) |
| c/a = 2Ct1/2Ct3 = 2(Ct1-Ct3) | c:a=2(Ct1-Ct3) |
| 检测结果=2(Ct1-Ct3)/2(Ct1-Ct2) |
FC 流式标准操作流程
细胞表面染色操作流程
- 1. 细胞计数:将培养好的细胞收集于50 mL离心管中并计数;500 g离心4 min,去上清;
- 2. 制备单细胞悬液:将收集的细胞用 1mL 0.5% BSA/PBS溶液重悬,400 g离心3 min,去上清,重复2次;用 0.5% BSA/PBS溶液重悬细胞,分配到96孔板中,每孔50 μL细胞悬液;
- 3. 一抗孵育:每孔加入一抗稀释液50 μL。振荡,室温反应20 min;
- 4. 洗涤:400 g离心5 min,去上清;
- 5. 二抗孵育:如非荧光染料直标抗体加入100 μL 荧光二抗 ,重悬避光振荡,室温反应20 min;直标荧光抗体直接跳转到步骤8;
- 6. 以 400 g 的速度离心 5 分钟,去上清;
- 7. 洗涤:加入200 μL 0.5% BSA/PBS重悬,400 g离心5 min,去上清,重复两遍;
- 8. 用200 μL 0.5% BSA/PBS重悬细胞,上机分析。
细胞胞内染色操作流程
- 1. 将培养好的细胞收集于50 mL离心管中并计数;500 g离心4 min,去上清;
- 2. 将收集的细胞用1mL 0.5% BSA/PBS溶液重悬,400 g离心3 min,弃上清,用 0.5% BSA/PBS溶液重悬细胞,按设计方案对应96孔板中每孔加100 μL细胞悬液,离心,去上清;
- 3. Live/Dead (Zombie NIR)染色,L/D staining solution 用1×PBS按1:1500的比例稀释,按设计将L/D staining solution分配到96孔V型板里,每孔100 μL,重悬每孔中的细胞,混合,避光室温孵育15 min;
- 4. 400 g离心5 min,弃上清,用FACS buffer洗2次,按设计将1X Intracellular Fixation buffer分配到96孔V型板里,每孔100μL,重悬每孔中的细胞,混合 ,避光室温孵育30min;
- 5. 400 g离心5 min,弃上清,用1X Permeablization buffer洗2次,按设计将用1X Perm buffer稀释好的一抗分配到96孔V型板里,每孔100μL,重悬每孔中的细胞,混合,避光室温孵育30 min;
- 6. 400 g离心5 min,去上清,用1X Permeablization buffer洗2次;
- 7. 按设计将用1X Permeablization buffer 稀释好的荧光二抗分配到96孔V型板里,每孔100μL,重悬每孔中的细胞,混合,避光室温孵育30 min;直标荧光抗体直接跳转到步骤9;
- 8. 400 g离心5 min,去上清,用1X Permeablization buffer洗2次;
- 9. 用200μL FACS buffer重悬细胞,上机分析。
文献引用
暂无数据