首页 抗体 生化试剂 定制服务 技术支持 促销活动 关于我们
登 录 注 册

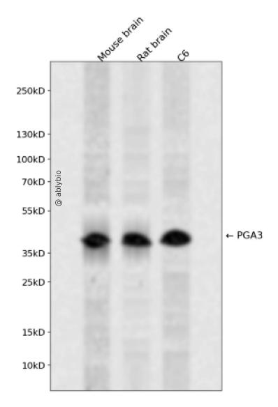
PGA3 Rabbit pAb  (货号:AYP20468)

说明书    复制

货号:AYP20468

规格价格
50ul ¥1150.00 加购物车
100ul ¥2100.00 加购物车
反应 Human,Mouse,Rat
宿主 Rabbit
克隆性 Polyclonal
应用 WB
推荐浓度 WB: 1:500 - 1:2000
理论分子量 41kDa
实测分子量 42kDa
形式 Liquid
保存条件 Store at -20℃. Avoid freeze / thaw cycles.
Buffer: PBS with 0.01% thiomersal,50% glycerol,pH7.3.
偶联物 Unconjugated
阳性对照 C6,U-251MG,U-87MG,SGC-7901,Mouse brain,Rat brain
细胞定位 Secreted
纯化 Affinity purification

相关产品

查找相关产品 >>

抗原信息

抗原信息 Recombinant fusion protein.
序列 Email For Sequence

靶点信息

研究背景 This gene encodes a protein precursor of the digestive enzyme pepsin, a member of the peptidase A1 family of endopeptidases. The encoded precursor is secreted by gastric chief cells and undergoes autocatalytic cleavage in acidic conditions to form the active enzyme, which functions in the digestion of dietary proteins. This gene is found in a cluster of related genes on chromosome 11, each of which encodes one of multiple pepsinogens. Pepsinogen levels in serum may serve as a biomarker for atrophic gastritis and gastric cancer.
基因ID 643834
基因名 PGA3
Swiss P0DJD8
别名 PGA3
功能 Shows particularly broad specificity; although bonds involving phenylalanine and leucine are preferred, many others are also cleaved to some extent.

实验步骤

实验步骤

文献引用

暂无数据

客户评价

未选文件 允许的格式:jpg,png 每张图片最大1M,支持多选

PGA3 Rabbit pAb 有 0 条评价