NANP Rabbit pAb (货号:AYP18697)

Western blot - NANP Rabbit pAb
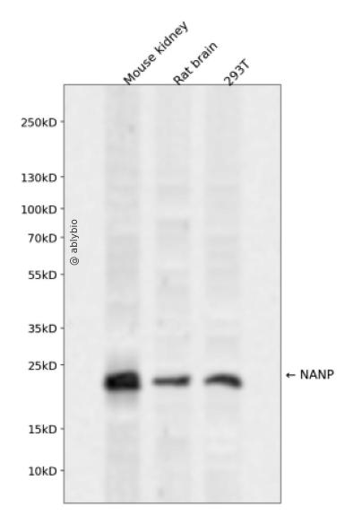
Western blot analysis of NANP expressed in Mouse kidney,Rat brain,293T using NANP Rabbit pAb at 1:1000. Secondary antibody: HRP Goat Anti-Rabbit IgG (H+L) at 1:5000. Lysates/proteins: 30ug per lane. Blocking buffer: 5% non-fat dry milk in TBST. Detection: ECL Enhanced Kit. Exposure time: 120s.
预览

Western blot - NANP Rabbit pAb
Western blot analysis of NANP expressed in Mouse kidney,Rat brain,293T using NANP Rabbit pAb at 1:1000. Secondary antibody: HRP Goat Anti-Rabbit IgG (H+L) at 1:5000. Lysates/proteins: 30ug per lane. Blocking buffer: 5% non-fat dry milk in TBST. Detection: ECL Enhanced Kit. Exposure time: 120s.
询价
感谢!
产品信息
相关产品
抗原信息
靶点信息
文献引用
实验步骤
客户评价
| 反应 | Human,Mouse,Rat |
|---|---|
| 宿主 | Rabbit |
| 克隆性 | Polyclonal |
| 应用 | WB |
| 推荐浓度 | WB: 1:500 - 1:2000 |
| 理论分子量 | 27kDa |
| 实测分子量 | 23kDa |
| 形式 | Liquid |
| 保存条件 | Store at -20℃. Avoid freeze / thaw cycles. Buffer: PBS with 0.01% thiomersal,50% glycerol,pH7.3. |
| 偶联物 | Unconjugated |
| 阳性对照 | 293T,Mosue brain,Mouse kidney,Mouse spleen,Rat brain,Rat spleen |
| 细胞定位 | cytosol |
| 纯化 | Affinity purification |
相关产品
查找相关产品 >>抗原信息
| 抗原信息 | Recombinant fusion protein. |
|---|---|
| 序列 | Email For Sequence |
靶点信息
| 研究背景 | Enables N-acylneuraminate-9-phosphatase activity. Involved in N-acetylneuraminate biosynthetic process. Predicted to be located in cytosol. |
|---|---|
| 基因ID | 140838 |
| 基因名 | NANP |
| Swiss | Q8TBE9 |
| 别名 | NANP;C20orf147;HDHD4;dJ694B14.3 |
| 功能 | N-acylneuraminate 9-phosphate + H2O = N-acylneuraminate + phosphate. |
实验步骤
蛋白质印迹法标准操作流程
一、实验试剂及耗材
1、样品制备试剂
- a. RIPA 裂解液
- b. 蛋白酶抑制剂
- c. BCA工作液
- d. BSA Standard Solution(5mg/ml)
- e. 1×PBS缓冲液
- f. 5×loading buffer
2、制胶试剂
- a.30% Acr-Bis (29:1)
- b.1 M Tris-HCl (pH6.8)
- C.1.5M Tris-HCl (pH8.8)
- d.10%SDS
- e.10%Ammonium persulfate (APS)
- f.TEMED
3、电泳、转膜试剂及耗材
- a. 1X Tris-Glycine SDS Running Buffer
- b. 1X Western Transfer Buffer
- c. Filter Paper (7.5×10cm)
- d. Nitrocellulose membrane
4、封闭、一抗二抗孵育及曝光试剂
- a. 1XTBST Buffer
- b. 1X Western Blocking Buffer
- c. Skimmed milk powder
- d. Bovine Serum Albumin (BSA)
- e. Western Antibody Dilution Buffer
- f. HRP 偶联二抗(AS014/AS003)
- g. SignalFire™ ECL Reagent
二、实验步骤
1、样品制备
(1)细胞收集
- a. 贴壁培养细胞收集
去除贴壁细胞的培养液,用PBS、NS或无血清培养基清洗1次,低速离心,弃上清,留取沉淀。 - b. 悬浮培养细胞收集
速离心悬浮细胞,弃上清,收集沉淀。手指轻弹细胞,使其松散。 - c. 组织样本收集
把组织剪切成细小的碎片,越小越好。取液氮或超低温冰箱中冷冻30min以上的组织,迅速用液氮研磨,研磨过程尽量控制在1~2min之内,以减少蛋白的降解。
(2)总蛋白提取
- a. 细胞/组织裂解
将装有细胞沉淀或组织碎片的容器完全插入冰中。细胞沉淀按照1mL裂解液/107个细胞(1个T75培养瓶细胞量)的比例加入相应体积的裂解液(细胞量足够时都加入3mL,不足时根据细胞量计算),裂解20min,每隔5min将离心管置于涡旋振荡仪上震荡10s。组织碎片按照0.5mL 裂解液/100mg组织向匀浆器中加入蛋白裂解液,每3min研磨一次,重复5次,使组织尽量碾碎。(裂解液中根据需要选择添加或不添加蛋白酶抑制剂)。 - b. 离心
把裂解好的样品配平后,置于预冷的高速冷冻离心机中,12000 rpm,15min。 - c. 蛋白变性
完成离心后,上清即为蛋白提取液。吸取少量蛋白提取液做蛋白浓度测定。向剩余的蛋白提取液的离心管中加入1/5上清体积的5×Loading Buffer(最终工作液为1X),待干式恒温器温度升至95℃后,将1.5mL离心管插入加热孔中,95℃加热变性10min,待液体完全冷却后置于-20℃保存。
(3)蛋白浓度测定(BCA法)
- a. BCA工作液的配置
根据样品数量,按50体积BCA试剂A加入1体积BCA试剂B(50:1)配置适量BCA工作液,充分混匀。BCA工作液室温24h内稳定。 - b. 标准品测定
取10μl蛋白标准品(5mg/ml BSA)稀释至50μl,使终浓度为1mg/ml。稀释后的蛋白标准品可以-20℃长期保存。此标准品溶液的稀释液可使用去离子水或1*PBS。将标准品按0、1、2、4、8、12、16、20μl加入到96孔板中,加稀释液补足到20μl(见附表)。加适当体积样品到96孔板的样品孔中,如果样本不足20μl,需加稀释液补足到20μl。请注意记录样品体积。各孔加入200μl BCA工作液,37℃放置20-30min。用酶标仪测定A562,或540-595nm之间的其他波长吸光度。根据标准曲线和使用的样品体积计算出样品的蛋白浓度。
2、凝胶电泳
(1)制胶器安装
- 根据使用说明书安装。
(2)分离胶制备
- 根据不同蛋白大小,选择不同浓度的分离胶(见附件表)。将制备好的胶溶液注入预先安装好的制胶器中,加入异丙醇封胶。室温水平放置30min左右。注意防止胶溶液产生气泡并注入制胶器中;注胶前再加入TEMED,防止注胶前凝固;注入异丙醇时需沿玻板一边缓慢拖动加入。
(3)浓缩胶制备
- 分离胶凝固后,沿玻板一边倒出异丙醇,并用滤纸吸干。再根据需要的体积制备浓缩胶(见附表)。将制备好的胶溶液注入制胶器中,并把准备好的样品梳沿玻板一端缓慢插入胶溶液中,室温水平放置20-30min。注意样品梳与胶溶液之间避免气泡产生。
(4)上样
- 待浓缩胶凝固好后,双手垂直拔出样品梳,并用Tris-Glycine SDS Running Buffer注入到内外槽中,形成闭合回路。用移液器吸取样品垂直梳孔上样,蛋白含量25ug/孔。注意内槽Tris-Glycine SDS Running Buffer需注满,外槽Tris-Glycine SDS Running Buffer没过底部3~5cm即可。
(5)电泳
- 上样完以后,连通电泳仪电源,注意正负极需连接正确,设定适宜的电泳参数,浓缩胶电泳参数为恒压80V,待样本进入分离胶是,可将电泳调至120V。当溴酚蓝电泳到凝胶底部时,停止电泳,关闭电泳仪电源,或根据目的蛋白分子量大小参照Marker电泳情况延长电泳时间。
3、转膜
(1)准备工作
- a. Western Transfer Buffer至少提前2h (即开始电泳后)放入-20℃冰箱预冷,但注意避免结冰。
- b. 根据胶体大小,将Filter Paper及Nitrocellulose membrane剪裁至合适尺寸。
- c. 目的蛋白>20KD选择0.45μm NC膜/PVDF膜;目的蛋白<20KD选择0.2μmNC膜或PVDF膜,选择完毕后将NC膜放在Western Transfer Buffer中浸泡备用,注意如使用的是PVDF膜需先放入甲醇中浸泡5-10min,再放入Western Transfer Buffer中浸泡备用。
(2)转膜
- 取出玻板中的凝胶,在夹板上依次放一块多孔垫、三张滤纸、凝胶、膜、三张滤纸、一块多孔垫(“三明治”结构),将转好的膜放在转膜槽,按一定的条件进行转膜。(见附表)
4、封闭
- 将膜从“三明治”结构中取出,放入合适的抗体孵育槽中,加入Western Blocking Buffer室温孵育1h,一张6.3×8.3cm大小的膜加入6~7ml即可。
5、一抗孵育
- a. 将一抗用1X Western Blocking Buffer/1XTBST Buffer按照合适比例进行稀释。
- b. 封闭结束后,将稀释好的一抗工作液倒入孵育槽中,室温2h或4℃过夜。
6、洗涤
- 一抗孵育结束后,加入TBST Buffer洗涤4次,5min/次。
7、二抗孵育
- a. 一抗洗涤结束前10min,将二抗用1XTBST Buffer按照合适比例进行稀释。
- b. 洗涤结束后,将稀释好的二抗工作液加入孵育槽中,室温1h。
8、洗涤
- 二抗孵育结束后,加入TBST Buffer洗涤4次,5min/次。
9、曝光
- a. 根据膜的大小,按每 10cm2 膜使用 1-2ml 工作液,按比例吸取等体积的 SolutionⅠ和 SolutionⅡ混匀,配制成发光检测工作液。
- b. 用平头镊子将膜取出,膜的下缘轻轻接触吸水纸,去除膜上多余的液体。用移液器将工作液加到转印膜上,使其均匀覆盖,室温孵育 1-2min,此步骤可在洁净保鲜膜上或塑料盒中完成。
- c. 压片检测:将膜固定于片夹内。暗室内压片 1 分钟,立即显影定影,根据结果再调整压片时间。或直接分别压片 30s、60s、90s、180s,然后一起显影定影观察结果。
- d. 荧光成像仪检测:将膜放置到荧光成像仪内,参考仪器说明书进行检测。
免疫组织化学标准操作流程(石蜡切片)
一、实验仪器及试剂
1、实验器材
微波炉、4℃冰箱、恒温恒湿箱、烘箱、光学显微镜、移液器、孵育湿盒、抗原修复盒。
2、实验试剂
- (1) 缓冲液:0.01M PBS pH7.2±0.2; 0.01M pH7.2 PBST;
试剂名称 1*PBS/L 试剂名称 1*PBST/L NaH2PO4 0.23g 1*PBS溶液 1L Na2HPO4 1.15g Tween 20 溶液 0.001L NaCl 8.5g 用稀HCl溶液和NaOH溶液调pH值 - (2) 修复液(可选):
pH6.0 0.01M柠檬酸修复液(1L):C6H8O7•H2O 0.4g;NaC6H5O7•2H2O 3g;pH6.0;
pH7.0 0.01M PBS修复液(1L):KH2PO4 0.07g;NaCl 7.89g;Na2HPO4 0.45g;KCl 0.10g;pH7.2-7.4;
pH8.0 0.05M Tris-EDTA修复液(1L):C4H11NO3 6.05g;C10H14N2Na2O8•2H2O 0.29g;用稀HCl调至pH8.0;
pH9.0 0.01M Tris-EDTA修复液(1L):C4H11NO3 1.21g;C10H14N2Na2O8•2H2O 0.37g;pH9.0。 - (3) 封闭液:5%空白山羊血清;
- (4) 3%过氧化氢(需新鲜配制,30% H2O2与dH2O体积比1:9);
- (5) 抗体稀释液:1X PBS + 5% 正常血清 + 0.3% Triton™ X-100;
- (6) EnVision Systems检测体系, HRP显色系统: HRP RABBIT/MOUSE及配套DAB显色液;
- (7) 脱蜡液、无水乙醇(分析纯)、去离子水(dH2O)、Mayer’s苏木素、中性树胶封片剂。
二、实验步骤
1.水化/脱蜡:
- (1)烤片:将石蜡切片按同一朝向放置在切片架上,将其放入55℃的恒温箱中烤片30分钟;同时将脱蜡液1缸一起放入55℃的恒温箱中;
- (2)脱蜡至水:将石蜡切片连同切片架一起放入脱蜡液1缸中,再一起从恒温箱中取出置于常温,5分钟后,将切片取出浸入到常温脱蜡液2缸中,并按照脱蜡液2、脱蜡液3、无水乙醇1、无水乙醇2、无水乙醇3的顺序依次将石蜡切片放入缸中,每缸5分钟;用流水清洗切片5分钟。
2.内源性过氧化物酶灭活:
- 将切片完全浸入到3%双氧水溶液中,室温,孵育10分钟;完成后流水清洗5分钟。
3.抗原修复(可选):
- (1)方法一,微波热修复:将切片浸入盛有修复液的修复盒中,将抗原修复盒盖斜盖在修复盒上;整体放入微波炉中,高火加热3分钟后停火,微波炉内静置5分钟;再高火加热3分钟后停火,微波炉内静置5分钟;随后中低火加热1分钟后停火,微波炉内静置5分钟,然后将切片连同抗原修复盒拿出缓慢冷却至室温。待修复液温度降至室温后,用缓冲液PBS洗涤3次,每次1min。
- (2)方法二,高压热修复:在高压锅中,加入抗原修复液,高火预热;待修复液沸腾后将切片置于其中,并完全浸泡组织,盖好锅盖,扣上压力阀,高火继续加热;待限压阀开始转动喷气后调至中火,同时开始计时2分钟;计时结束后离开热源,自然降压后将高压锅移入冷水中缓慢冷却。待修复液温度降至室温后,用缓冲液PBS洗涤3次,每次1min。
4.染色:
- (1)封闭:待修复液温度降至室温后,从修复盒中取出切片;用缓冲液PBS清洗切片2次,每次3分钟;去除切片上的缓冲液;在组织切片上滴加5%空白山羊血清封闭液;将切片水平放置在底部呈有水的孵育湿盒中,于37℃恒温孵育30分钟;
- (2)一抗孵育:去除封闭液,在组织切片上滴加用缓冲液PBS稀释的一抗,水平放置于孵育湿盒中,于4℃孵育过夜;
- (3)复温:将孵育湿盒取出室温复温15-30分钟,去除抗体工作液,用缓冲液PBST洗涤1次,5分钟;用缓冲液PBS洗涤3次,每次5分钟;
- (4)二抗孵育:在组织切片上滴加二抗工作液后水平放置于孵育湿盒中,于37℃恒温孵育1h;
- (5)去除切片上的溶液,用缓冲液PBST洗涤1次,5分钟;用缓冲液PBS洗涤3次,每次5分钟;
- (6)显色:显色前5分钟,配置DAB显色工作液,C液:B液体积比1:100,充分混匀;在组织切片上滴加显色工作液,显微镜下密切观察颜色变化情况,通常10-60秒即可得到合适的染色强度;将切片浸入大量dH2O中即可终止显色;
- (7)复染、返蓝:将切片浸入Mayer’s苏木素中复染切片,用流水清洗10分钟。
5.脱水、封片:
- (1)脱水:将清洗后的切片于无水乙醇中浸泡1次,10秒;高温(55℃-60℃)下完全干燥;
- (2)封片:在切片中心滴加适量中性树胶,并加盖盖玻片。
免疫荧光实验操作流程(细胞样本)
一、实验仪器及试剂
1、实验器材
4℃冰箱、恒温恒湿箱、通风橱、移液器、避光孵育湿盒。
2、实验试剂
- (1) 缓冲液:0.01M pH7.2±0.2 TBS ;0.01M pH7.2±0.2 TBST
试剂名称 1*TBS/L 试剂名称 1*TBST/L Tris 1.21g 1*TBS 1L NaCl 8.8g Tween 20 溶液 0.001L 用稀HCl溶液和NaOH溶液调pH值 用稀HCl溶液和NaOH溶液调pH值 - (2) 固定液:4%中性甲醛固定液(TBS缓冲液配制)
- (3) 抗体稀释液:1X TBS / 5% 正常血清 / 0.3% Triton™ X-100
- (4) 通透剂:0.3% Triton X-100(TBS缓冲液配制)
- (5) 二抗(可选):
Alexa Fluor 594-conjugated AffiniPure Goat Anti-Rabbit IgG (H+L)# AS074;
Alexa Fluor 488-conjugated AffiniPure Goat Anti-Rabbit IgG (H+L)# AS073;
Alexa Fluor 594-conjugated AffiniPure Goat Anti-Mouse IgG (H+L)# AS077;
Alexa Fluor 488-conjugated AffiniPure Goat Anti-Mouse IgG (H+L)# AS076; - (6) 染核试剂:1mg/mL DAPI(用时使用0.01M pH7.2 TBS缓冲液配制)
- (7) 去离子水(dH2O)、抗荧光衰减封片剂。
二、实验步骤
1.样本前处理
- (1) 弃去培养基,在细胞上缓慢加入常温TBS,清洗2次,每次5秒;
- (2) 细胞固定:在细胞上覆盖 4%中性甲醛固定液(TBS缓冲液配制),置于4℃,固定15min;固定液需足量;
- (3) 固定液的清洗:去除固定液,使用4℃预冷的TBS缓冲液,漂洗3次,每次5分钟;
2.染色步骤
- (1)封闭:用5%空白山羊血清将样本完全覆盖,切片需放置于湿盒内,细胞孔板可直接将孔板密封好,置于37℃恒温恒湿培养箱孵育30min;
- (2)一抗孵育:去除封闭液,直接在样本上滴加TBS缓冲液配制的一抗工作液,样本需完全覆盖,切片需放置于湿盒内,细胞孔板可直接将孔板密封好,置于4℃孵育过夜;
- (3)复温:将样本置于常温,复温15min,去除抗体工作液,用缓冲液TBST洗涤1次,5分钟;用缓冲液TBS洗涤3次,每次5分钟;
- (4)二抗孵育:在样本上滴加与一抗种属对应的荧光二抗工作液,样本需完全覆盖,避光,37℃,孵育1小时;去除二抗工作液,用缓冲液TBST洗涤1次,5分钟;用缓冲液TBS洗涤3次,每次5分钟;
- (5)染核:在样本上滴加DAPI工作液,使用0.01M pH7.2±0.2 TBS缓冲液配制,DAPI溶液:TBS缓冲液体积比1:500,避光,室温,孵育10分钟;去除DAPI工作液,用缓冲液TBST洗涤1次,5分钟;用缓冲液TBS洗涤3次,每次5分钟;
- (6)细胞孔板可直接加入抗荧光衰减封片剂后,于荧光显微镜下观察并采集图像;细胞涂片滴加抗荧光衰减封片剂,然后加盖盖玻片封片,再于荧光显微镜下观察并采集图像;细胞爬片可取出,盖在滴加抗荧光衰减封片剂的载玻片上后,于荧光显微镜下观察并采集图像。
免疫荧光实验操作流程(石蜡切片)
一、实验仪器及试剂
1、实验器材
微波炉、4℃冰箱、恒温恒湿箱、烘箱、移液器、避光孵育湿盒、抗原修复盒。
2、实验试剂
- (1) 缓冲液:0.01M pH7.2±0.2 TBS ;0.01M pH7.2±0.2 TBST
试剂名称 1*TBS/L 试剂名称 1*TBST/L Tris 1.21g 1*TBS 1L NaCl 8.8g Tween 20 溶液 0.001L 用稀HCl溶液和NaOH溶液调pH值 用稀HCl溶液和NaOH溶液调pH值 - (2) 修复液(可选):
pH6.0 0.01M柠檬酸修复液(1L):C6H8O7•H2O 0.4g;NaC6H5O7•2H2O 3g;pH6.0;
pH7.0 0.01M PBS修复液(1L):KH2PO4 0.07g;NaCl 7.89g;Na2HPO4 0.45g;KCl 0.10g;pH7.2-7.4;
pH8.0 0.05M Tris-EDTA修复液(1L):C4H11NO3 6.05g;C10H14N2Na2O8•2H2O 0.29g;用稀HCl调至pH8.0;
pH9.0 0.01M Tris-EDTA修复液(1L):C4H11NO3 1.21g;C10H14N2Na2O8•2H2O 0.37g;pH9.0。 - (3) 封闭液:5%空白山羊血清
- (4) 抗体稀释液:1X TBS / 5% 正常血清 / 0.3% Triton™ X-100
- (5) 二抗:
Alexa Fluor 594-conjugated AffiniPure Goat Anti-Rabbit IgG (H+L)# AS074;
Alexa Fluor 488-conjugated AffiniPure Goat Anti-Rabbit IgG (H+L)# AS073;
Alexa Fluor 594-conjugated AffiniPure Goat Anti-Mouse IgG (H+L)# AS077;
Alexa Fluor 488-conjugated AffiniPure Goat Anti-Mouse IgG (H+L)# AS076; - (6) 染核试剂:1mg/mL DAPI(用时使用0.01M pH7.2±0.2 TBS配制)
- (7) 去离子水(dH2O)、抗荧光衰减封片剂。
二、实验步骤
1.水化/脱蜡:
- (1) 烤片:将石蜡切片按同一朝向放置在切片架上,将其放入55℃的恒温箱中烤片30分钟;同时将脱蜡液1缸一起放入55℃的恒温箱中;
- (2) 脱蜡至水:将石蜡切片连同切片架一起放入脱蜡液1缸中,再一起从恒温箱中取出置于常温,5分钟后,将切片取出浸入到常温脱蜡液2缸中,并按照脱蜡液2、脱蜡液3、无水乙醇1、无水乙醇2、无水乙醇3的顺序依次将石蜡切片放入缸中,每缸5分钟;用流水清洗切片5分钟。
2.抗原修复:
- (1)方法一,微波热修复:将切片浸入盛有修复液的修复盒中,将抗原修复盒盖斜盖在修复盒上;整体放入微波炉中,高火加热3分钟后停火,微波炉内静置5分钟;再高火加热3分钟后停火,微波炉内静置5分钟;随后中低火加热1分钟后停火,微波炉内静置5分钟,然后将切片连同抗原修复盒拿出缓慢冷却至室温。
注意:修复液需完全浸没切片上组织;修复过程中严禁打开微波炉门;修复完成后不可快速冷却;修复液可根据实验需求自行换用其他类型修复液。 - (2)方法二,高压热修复:在高压锅中,加入抗原修复液,高火预热;待修复液沸腾后将切片置于其中,并完全浸泡组织,盖好锅盖,扣上压力阀,高火继续加热;待限压阀开始转动喷气后调至中火,同时开始计时2分钟;计时结束后离开热源,自然降压后将高压锅移入冷水中缓慢冷却。待修复液温度降至室温后,用缓冲液洗涤3次,每次1min。
注意:修复液需完全浸没切片上组织;修复过程中严禁打开仪器或中断运行程序;修复液可根据实验需求自行换用其他类型修复液。
3.染色:
- (1)封闭:用5%空白山羊血清将样本完全覆盖,切片需放置于湿盒内,置于37℃恒温恒湿培养箱孵育30min;
- (2)一抗孵育:去除封闭液,直接在样本上滴加TBS缓冲液配制的一抗工作液,样本需完全覆盖,切片需放置于湿盒内,置于4℃孵育过夜;
- (3)复温:将样本置于常温,复温15min,去除抗体工作液,用缓冲液TBST洗涤1次,5分钟;用缓冲液TBS洗涤3次,每次5分钟;
- (4)二抗孵育:在样本上滴加与一抗种属对应的荧光二抗工作液,样本需完全覆盖,避光,37℃,孵育1小时;去除二抗工作液,用缓冲液TBST洗涤1次,5分钟;用缓冲液TBS洗涤3次,每次5分钟;
- (5)染核:在样本上滴加DAPI工作液,使用0.01M pH7.2 TBS缓冲液配制,DAPI溶液:0.01M pH7.2 TBS缓冲液体积比1:500,避光,室温,孵育10分钟;去除DAPI工作液,用缓冲液TBST洗涤1次,5分钟;用缓冲液TBS洗涤3次,每次5分钟;
- (6)滴加抗荧光衰减封片剂,然后加盖盖玻片封片,再于荧光显微镜下观察并采集图像。
IP检测
一、实验试剂
- (1)rProtein A/G Plus MagPoly Beads
- (2)裂解液&洗杂液:Cell lysis buffer for IP (without inhibitors)
- (3)蛋白酶抑制剂
- (4)封闭液:含 3% BSA 的 1X PBS
- (5)1×PBS 缓冲液
- (6)5×loding buffer(使用时用去离子水稀释至工作浓度即可)
- (7)Control IgG (AC005/ AC011/AC034)
二、实验步骤
1、样本处理
(1)贴壁培养细胞
- a. 取裂解液室温溶解混匀,根据需要选择添加或不添加蛋白酶抑制剂。
- b. 去除贴壁细胞的培养液,用PBS、NS或无血清培养基清洗1次,低速离心,弃上清,留取沉淀。
- c. 按照6孔板每孔加入100~200μl裂解液的比例,加入裂解液。移液器轻轻吹打,使裂解液和细胞充分接触。通常裂解液作用于细胞1~5s内,细胞会被裂解。
- d. 1000~12000g,离心3~5min(如果用冷冻离心机4℃效果更佳),取上清。
(2)悬浮培养细胞
- a. 取裂解液室温溶解混匀,根据需要选择添加或不添加蛋白酶抑制剂。
- b. 速离心悬浮细胞,弃上清,收集沉淀。
- c. 手指轻弹细胞,使其松散。按照6孔板每孔加入100~200μl裂解液的比例,加入NP-40裂解液。通常6孔板每孔加入100~200μl裂解液已经足够,但如果细胞密度非常高可以适当加大裂解液的用量150~200μl,再用手指轻弹以充分裂解细胞。充分裂解后应无明显沉淀。
- d. 1000~12000g,离心3~5min(如果用冷冻离心机4℃效果更佳),取上清。
(3)组织样本
- a. 取裂解液室温溶解混匀,根据需要选择添加或不添加蛋白酶抑制剂。
- b. 把组织剪切成细小的碎片,越小越好。
- c. 取液氮或超低温冰箱中冷冻30min以上的组织,迅速用液氮研磨,研磨过程尽量控制在1~2min之内,以减少蛋白的降解。
- d. 按照每20mg组织加入100~200μl裂解液的比例,加入含有PMSF的裂解液。冰上或4℃裂解30-60min。(步骤3、4也可采用以下过程:按照每20mg组织加入100~200μl裂解液的比例加入NP-40裂解液。用玻璃匀浆器或组织研磨器匀浆,直至充分裂解,过程尽量控制在1~2min之内,以减少蛋白的降解。)
- e. 按照每20mg组织加入100~200μl裂解液的比例,加入裂解液。
- f. 1000~12000g,4℃离心10~15min(如无低温离心机,室温下离心也可),取上清。
2、磁珠预处理
- (1)将rProtein A/G Plus MaqPoly Beads颠倒或漩涡混匀,翻转瓶身发现底部无黑色沉淀即可。
- (2)取30μl rProtein A/G Plus MaqPoly Beads至新的EP管中,放在磁分离器上,待溶液澄清后,用移液器吸弃保护液。
- (3)将EP管从磁分离器上取下来,加入1ml Cell lysis buffer for IP (without inhibitors),混匀,放置在磁分离器上,收集磁珠,用移液器吸弃洗杂液,重复2次。
- (4)将EP管从磁分离器上取下来,加入1mL的3% BSA,置于翻转混合仪4℃封闭1h.
- (5)重复步骤3),备用。
3、磁珠、抗原-抗体复合物结合
- (1)将含有抗原的样品(通常300μl-1000μl,总蛋白量200μg)中加入目标抗体(通常3μg),置于翻转混合仪4℃下反应2h或过夜。
- (2)将上述完成抗体-抗原结合的复合物与备用好的磁珠进行混合,置于4℃下反应2h或过夜。
- (3)将上述磁珠-抗体-抗原复合物放在磁分离器上进行分离,收集上清液,以备后续检测。
- (4)向离心管中加入1ml洗杂液,用移液器轻轻吹打使磁珠-抗体-抗原复合物均匀分散,然后进行磁性分离,弃上清液;从磁分离器上取下离心管,重复洗涤两次。
4、抗原洗脱
(1)变性洗脱(此方法洗脱的样品适用于SDS-PAGE检测。)
- a. 从磁分离器上取下离心管,向其中加入30μl 2X SDS-PAGE Loading Buffer混合均匀,95℃加热15min。
- b. 置于磁性分离器上进行磁性分离,收集上清液进行SDS-PAGE检测。
(2)非变性洗脱
- a. 向磁珠-抗体-抗原复合物中加入50μl洗脱液,混合均匀,室温孵育5min。
- b. 置于磁性分离器上进行磁性分离,收集洗脱液至新的EP管中。
- c. 重复步骤1)和2),收集洗脱液,与2)中洗脱液混合,加入中和液中和至pH7.0-8.0。用于后期功能分析。
ChIP标准操作流程
一、实验试剂
- (1)PBS缓冲液
- (2)TE 缓冲液
- (3)甲醛:40%
- (4)甘氨酸:20%
- (5)Lysis Buffer
- (6)Dilution buffer
- (7)Wash buffer I
- (8)Wash buffer II
- (9)Wash buffer III
- (10)Elution buffer
- (11)rProtein A/G Plus MagPoly Beads
二、实验步骤
1、细胞裂解
- (1)取1x107细胞,加入1ml PBS和25ul甲醛(40%)混匀后,于冰上放置10min(混匀2-3次)。
- (2)加入50ul甘氨酸(20%),混匀后静置5min。
- (3)3000rpm离心5min,用1ml PBS清洗2遍。
- (4)加入200ul Lysis Buffer(含10ul蛋白酶抑制剂),置于旋转摇床4℃裂解30min。
- (5)加入800ul Dilution buffer,混匀后超声15-20min。
- (6)12000rpm离心10min取上清,吸取少量裂解液DNA回收检测。
- (7)琼脂糖电泳检测DNA打断程度,DNA长度应在150-900 bp之间。
- (8)使用Qubit™荧光定量仪检测染色质浓度。
2、IP(免疫沉淀:磁珠法):
- (1)取60ul 磁珠加入1ml BSA(1mg/ml,TE缓冲液配制),于旋转摇床4℃旋转5min,至于磁力架弃去液体,加入1ml BSA重复此操作1次。
- (2)加入1ml TE溶液清洗磁珠两次,于4℃放置备用。
- (3)取180ul染色质裂解液,加入320ul Dilution buffer(一份IP样品), 分别加入5ul抗体,1ul Normal Rabbit IgG,5ul Histone H3于4℃过夜,然后加入60ul处理好的磁珠,4℃孵育2h。
- (4)依次使用Wash buffer I/II/III 洗涤磁珠,完成后使用TE溶液洗涤两次。
- (5)弃去上清后加入200ul Elution buffer,置于旋转摇床室温旋转10min。
- (6)吸取上清加入10ul蛋白酶K,65℃水浴至少4h。
- (7)使用DNA回收试剂盒回收DNA。
3、Q-PCR:
(1)反应体系 (20ul)
| DNA模板: | 5 μl |
| 引物: | 5 μl |
| Green Master Mix: | 10 μl |
(2)反应体系 (20ul)
| Stage 1 | 预变性 | Reps: 1 | 95 ℃ | 5 min |
| Stage 2 | 循环反应 b | Reps: 40 | 95 ℃ | 10 sec |
| 60 ℃ | 30 sec | |||
| Stage 3 | 融解曲线 | Reps: 1 | 95 ℃ | 15 sec |
| 60 ℃ | 60 sec | |||
| 95 ℃ | 15 sec |
4、结果计算
假设 Input 起始浓度为 a,Ct1 个循环数扩增后达到阈值;IgG 起始浓度为 b,Ct2 个循环数扩增后达到阈值;目的蛋白起始浓度为 c,Ct3 个循环数扩增后达到阈值。则可以得到如下公式:
| a×2Ct1 = b×2Ct2 = c×2Ct3 | |
| b/a = 2Ct1/2Ct2 = 2(Ct1-Ct2) | b:a=2(Ct1-Ct2) |
| c/a = 2Ct1/2Ct3 = 2(Ct1-Ct3) | c:a=2(Ct1-Ct3) |
| 检测结果=2(Ct1-Ct3)/2(Ct1-Ct2) |
FC 流式标准操作流程
细胞表面染色操作流程
- 1. 细胞计数:将培养好的细胞收集于50 mL离心管中并计数;500 g离心4 min,去上清;
- 2. 制备单细胞悬液:将收集的细胞用 1mL 0.5% BSA/PBS溶液重悬,400 g离心3 min,去上清,重复2次;用 0.5% BSA/PBS溶液重悬细胞,分配到96孔板中,每孔50 μL细胞悬液;
- 3. 一抗孵育:每孔加入一抗稀释液50 μL。振荡,室温反应20 min;
- 4. 洗涤:400 g离心5 min,去上清;
- 5. 二抗孵育:如非荧光染料直标抗体加入100 μL 荧光二抗 ,重悬避光振荡,室温反应20 min;直标荧光抗体直接跳转到步骤8;
- 6. 以 400 g 的速度离心 5 分钟,去上清;
- 7. 洗涤:加入200 μL 0.5% BSA/PBS重悬,400 g离心5 min,去上清,重复两遍;
- 8. 用200 μL 0.5% BSA/PBS重悬细胞,上机分析。
细胞胞内染色操作流程
- 1. 将培养好的细胞收集于50 mL离心管中并计数;500 g离心4 min,去上清;
- 2. 将收集的细胞用1mL 0.5% BSA/PBS溶液重悬,400 g离心3 min,弃上清,用 0.5% BSA/PBS溶液重悬细胞,按设计方案对应96孔板中每孔加100 μL细胞悬液,离心,去上清;
- 3. Live/Dead (Zombie NIR)染色,L/D staining solution 用1×PBS按1:1500的比例稀释,按设计将L/D staining solution分配到96孔V型板里,每孔100 μL,重悬每孔中的细胞,混合,避光室温孵育15 min;
- 4. 400 g离心5 min,弃上清,用FACS buffer洗2次,按设计将1X Intracellular Fixation buffer分配到96孔V型板里,每孔100μL,重悬每孔中的细胞,混合 ,避光室温孵育30min;
- 5. 400 g离心5 min,弃上清,用1X Permeablization buffer洗2次,按设计将用1X Perm buffer稀释好的一抗分配到96孔V型板里,每孔100μL,重悬每孔中的细胞,混合,避光室温孵育30 min;
- 6. 400 g离心5 min,去上清,用1X Permeablization buffer洗2次;
- 7. 按设计将用1X Permeablization buffer 稀释好的荧光二抗分配到96孔V型板里,每孔100μL,重悬每孔中的细胞,混合,避光室温孵育30 min;直标荧光抗体直接跳转到步骤9;
- 8. 400 g离心5 min,去上清,用1X Permeablization buffer洗2次;
- 9. 用200μL FACS buffer重悬细胞,上机分析。
文献引用
暂无数据